Cost Of Anomaly Scan In Chennai
Click to get the latest Did You Know. We will guide you on how to place your essay help proofreading and editing your draft fixing the grammar spelling or formatting of your paper easily and cheaply.
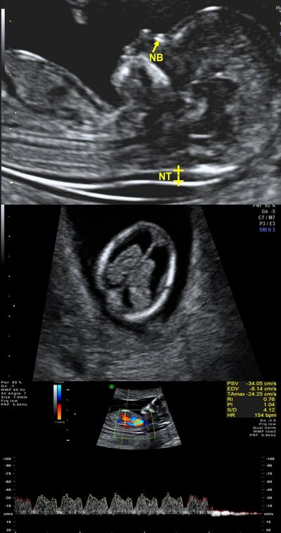
Early Pregnancy Anomaly Scan At 11 13 Weeks Isuog Approved Course Youtube
Mitral valve disease is the most common heart disease in dogs.

Cost of anomaly scan in chennai. The same applies to vaginal discharge nausea and mood swings. In the second trimester of pregnancy you may be offered to have an morphology scan anomaly scan. Get 247 customer support help when you place a homework help service order with us.
Now we have only Institutional strengthening IEC and ICTC with Chennai MACS other components are merged with TANSACS NGO 2009 STD 2011 Blood. We have an experienced team of medical professionals to take care of your COVID-19 RT-PCR tests at the most cost-effective rates. It results from a thickening of the mitral valve as a dog ages.
Some women might notice one or two symptoms in the earliest stages of pregnancy. Just walk in to any of our testing centres in Chennai within 72 hours of your travel and take back home accurate test results. The Components of IEC NGO ICTC Blood safety STD were functioning in Chennai MACS.
Chennai MACS was started on 31st August 1998 for HIVAIDS prevention in Chennai city funded directly by NACO. Enter the email address you signed up with and well email you a reset link. An online early pregnancy test.
In the year 2011 to 2017 Chennai District Blindness Control Society has received 14271 numbers of cornea through eye bank of Regional Institute of Ophthalmology and Government Ophthalmic Hospital Chennai and through NGOs and they were used in cornea transplantation totally 6767 persons were benefited through this programme. 4D Ultrasound Facial Expressions of a fetus. Because the mitral valve is the gate between the two left heart chambers it leaks blood and the heart enlarges.

Best Anomaly Scan In Chennai Anomaly Scan Cost In Chennai Mid Pregnancy Scan In Chennai Gynecologist In Mandaveli Chennai Fertility Hospital In Chennai Ivf Treatment In

Fetal Growth Scan Chennai Growth Scan In Pregnancy Procedure Report Cost

Anomaly Scan In Chennai Anomaly Scan In Anna Nagar Anomaly Scan Near Me Anomaly Scan Price Anomaly Scan In Golden Scans Tiffa Scan In Chennai Tiffa Scan In Anna Nagar Tiffa Scan

Fetal Anomaly Scan Pregnancy Scan Types Of Anomaly Scan Apollo Cradle

Anomaly Scan In Chennai Anomaly Scan Procedure Report Details




0 Response to "Cost Of Anomaly Scan In Chennai"
Post a Comment